Ductal carcinoma

Ductal carcinoma
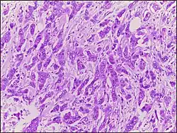
Micrograph of breast tissue with ductal carcinoma. H&E stain.

Ductal carcinoma is a type of tumor that primarily presents in the ducts of a gland.[1]

Types include:

References

  1. ^ "NCI Dictionary of Cancer Terms". National Cancer Institute. 2 February 2011. Retrieved 21 November 2019.



Media related to Ductal carcinomas at Wikimedia Commons