Dense artery sign

Dense artery sign
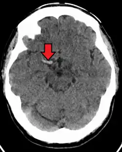
CT scan without intravenous contrast showing hyperdense aspect of the right middle cerebral artery, indicating thrombus within the vessel
Differential diagnosisischemic stroke

In medicine, the dense artery sign or hyperdense artery sign is an increased radiodensity of an artery as seen on computer tomography (CT) scans, and is a radiologic sign of early ischemic stroke.[1] In earlier studies of medical imaging in patients with strokes, it was the earliest sign of ischemic stroke in a significant minority of cases.[2] Its appearance portends a poor prognosis for the patient.[3][4]

The sign has been observed in the middle cerebral artery (MCA),[4] posterior cerebral artery (PCA),[5] vertebral artery,[2] and basilar artery;[6] these have been called the dense MCA sign, dense PCA sign, dense vertebral artery sign, and dense basilar artery sign, respectively.

Rarely, a hypodense artery sign can occur due to fat embolism.[7]

Cause

Through cerebral angiography, the sign has been demonstrated to correspond to embolic or atherosclerotic occlusion of an artery.[1] Specifically, the hyperdensity is thought to be due to calcification or hemorrhage associated with an atherosclerotic plaque.[1]

Identification

Identification of the dense artery sign is often based on subjective interpretation and false positives may occur. One study aiming to define criteria for the sign determined that measuring Hounsfield units on the CT scan could differentiate between the dense MCA sign associated with ischemic stroke and that caused by false positives.[8] Specifically, the combination of greater than 43 Hounsfield units and an MCA density ratio of greater than 1.2 was diagnostic of a dense MCA sign associated with acute ischemic stroke.[8]

References

  1. ^ a b c Bakshi R, Mazziotta JC (December 1998). "Acute middle cerebral artery thrombosis demonstrated by cranial computed tomography: the "dense MCA" sign". Arch. Neurol. 55 (12): 1577. doi:10.1001/archneur.55.12.1577. PMID 9865804.
  2. ^ a b Schuknecht B, Ratzka M, Hofmann E (1990). "The "dense artery sign"--major cerebral artery thromboembolism demonstrated by computed tomography". Neuroradiology. 32 (2): 98–103. doi:10.1007/BF00588557. PMID 2398948.
  3. ^ Zorzon M, Masè G, Pozzi-Mucelli F, et al. (1993). "Increased density in the middle cerebral artery by nonenhanced computed tomography. Prognostic value in acute cerebral infarction". Eur. Neurol. 33 (3): 256–9. doi:10.1159/000116949. PMID 8467850.
  4. ^ a b Launes J, Ketonen L (November 1987). "Dense middle cerebral artery sign: an indicator of poor outcome in middle cerebral artery area infarction". J. Neurol. Neurosurg. Psychiatry. 50 (11): 1550–2. doi:10.1136/jnnp.50.11.1550. PMC 1032575. PMID 3694213.
  5. ^ Bettle N, Lyden PD (December 2004). "Thrombosis of the posterior cerebral artery (PCA) visualized on computed tomography: the dense PCA sign". Arch. Neurol. 61 (12): 1960–1. doi:10.1001/archneur.61.12.1960. PMID 15596621.
  6. ^ Bodensteiner JB, Reitter BF, Sheth RD (September 1998). "Basilar artery occlusion and the dense artery sign in the newborn". Clin Pediatr (Phila). 37 (9): 551–4. doi:10.1177/000992289803700905. PMID 9773238.
  7. ^ Lee TC, Bartlett ES, Fox AJ, Symons SP. The hypodense artery sign. American Journal of Neuroradiology. 2005 September; 26(8):2027-2029.
  8. ^ a b Koo CK, Teasdale E, Muir KW (2000). "What constitutes a true hyperdense middle cerebral artery sign?". Cerebrovasc. Dis. 10 (6): 419–23. doi:10.1159/000016101. PMID 11070370.