Episternal ossicles

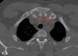
Axial computed tomography showing the episternal ossicles (red arrows)

Episternal ossicles (or suprasternal ossicles) are small bones that are sometimes present at the upper end of the chest bone. The prevalence of these ossicles is around 1.5%.[1]

Structure

The episternal ossicles are oval-shaped bones that are occasionally found at the superior and posterior border of the manubrium. The episternal ossicles were first described by Cobb in 1937.[2] They may be present unilaterally or bilaterally.[3] Its size ranges from 2–15 mm depending on individuals.[4] These ossicles are asymptomatic and does not cause any harm, although it may be diagnosed as fracture, vascular ossification or calcified lymph nodes.

See also

References

  1. ^ Stark, P; Watkins, G E; Hildebrandt-Stark, H E; Dunbar, R D (1987). "Episternal ossicles". Radiology. 165 (1): 143–144. doi:10.1148/radiology.165.1.3628759. ISSN 0033-8419. PMID 3628759.
  2. ^ Cobb, M. Montague (1937). "The Ossa Suprasternalia in Whites and American Negroes and the Form of the Superior Border of the Manubrium Sterni". Journal of Anatomy. 71 (Pt 2): 245–291. PMC 1252344. PMID 17104639.
  3. ^ Yurasakpong, Laphatrada; Asuvapongpatana, Somluk; Weerachatyanukul, Wattana; Meemon, Krai; Jongkamonwiwat, Nopporn; Kruepunga, Nutmethee; Chaiyamoon, Arada; Sudsang, Thanwa; Iwanaga, Joe; Tubbs, R. Shane; Suwannakhan, Athikhun (2022). "Anatomical variants identified on chest computed tomography of 1000+ COVID-19 patients from an open-access dataset". Clinical Anatomy. 35 (6): 723–731. doi:10.1002/ca.23873. ISSN 1098-2353. PMC 9083245. PMID 35385153.
  4. ^ Cuete, David. "Episternal ossicles | Radiology Reference Article | Radiopaedia.org". Radiopaedia. Retrieved 2023-03-11.