HPS stain

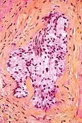
Micrograph of a HPS stained section demonstrating perineural spread of prostate adenocarcinoma.

In histology, the HPS stain, or hematoxylin phloxine saffron stain, is a way of marking tissues.

HPS is similar to H&E, the standard bearer in histology. However, it differentiates between the most common connective tissue (collagen) and muscle and cytoplasm by staining the former yellow and the latter two pink,[1] unlike an H&E stain, which stains all three pink.

HPS stained sections are more expensive than H&E stained sections, primarily due to the cost of saffron.

See also

References

  1. ^ "Saffron". polysciences.com. Accessed 6 December 2009.