Legionella pneumophila

Legionella pneumophila
Colorized scanning electron micrograph image of L. pneumophila
Scientific classification Edit this classification
Domain: Bacteria
Kingdom: Pseudomonadati
Phylum: Pseudomonadota
Class: Gammaproteobacteria
Order: Legionellales
Family: Legionellaceae
Genus: Legionella
Species:
L. pneumophila
Binomial name
Legionella pneumophila
Brenner DJ, Steigerwalt AG, McDade JE 1979

Legionella pneumophila, the primary causative agent for Legionnaire's disease, is an aerobic, pleomorphic, flagellated, non-spore-forming, Gram-negative bacterium.[1][2] L. pneumophila is a intracellular parasite that preferentially infects soil amoebae and freshwater protozoa for replication.[3][4] Due to L. pneumophila’s ability to thrive in water, it can grow in water filtration systems, leading to faucets, showers, and other fixtures. Aerosolized water droplets containing L. pneumophila originating from these fixtures may be inhaled by humans.[5] Upon entry to the human respiratory tract, L. pneumophila is able to infect and reproduce within human alveolar macrophages.[4] This causes the onset of Legionnaires' disease, also known as legionellosis.[4] Infected humans may display symptoms such as fever, delirium, diarrhea, and decreased liver and kidney function.[6] L. pneumophila infections can be diagnosed by a urine antigen test.[7][8] The infections caused by the bacteria can be treated with fluoroquinolones and azithromycin antibiotics.[7]

Characterization

L. pneumophila is a coccobacillus.[9] It is a Gram-negative, aerobic bacterium that is non-fermentative. It is oxidase- and catalase-positive.[10] L. pneumophila colony morphology is gray-white with a textured, cut-glass appearance; it also requires cysteine and iron to thrive.[11] It grows on buffered charcoal yeast extract agar as well as in moist environments, such as tap water, in "opal-like" colonies.[11]

L. pneumophila is a intracellular bacterium. As an intracellular parasite, L. pneumophila has a preferential parasitic relationship with protozoa, which serve as a reservoir for the bacterium.[12] Predators of protozoa, such as amoeba and ciliates, are natural hosts for L. pneumophila while humans are accidental hosts, as evidenced by there being only one reported case of L. pneumophila human-to-human transmission. Rather than through contagious spread, it infects the alveolar macrophages in human lungs when inhaled as aerosol.[13][14]

A special characteristic allows for the microbe to thrive in extracellular environments, such as various freshwater environments. This is achieved through its two forms: transmissive and replicative. The transition between the two is activated by changes in the availability of metabolic/nutritional resources in its current environment. The transmissive form is assumed when the bacteria is infecting its host, while the replicative form follows to carry out proliferation.[14]

Cell membrane structure

L. pneumophila is a Gram-negative bacterium. Its unique outer membrane composed of lipoproteins, phospholipids, and other proteins is the distinguishing feature of Legionella spp. Legionella spp. possess unique lipopolysaccharides (LPS) extending from the outer membrane leaflet of the outer cell membrane that play a role in pathogenicity and adhesion to a host cell. Lipopolysaccharides are the leading surface antigen of all Legionella species including L. pneumophila.[10]

The bases for the somatic antigen specificity of this organism are located on the side chains of its cell wall. The chemical composition of these LPS side chains both with respect to components and arrangement of the different sugars, determines the nature of the somatic or O-antigenic determinants, which are important means of serologically classifying many Gram-negative bacteria. L. pneumophila exhibits distinct chemical characteristics in its LPS structure that distinguish it from other Gram-negative bacteria.[15] The unique attributes are key factors in its serological identity and biological function.[15]

Ecology

L. pneumophila (red chains) multiplying inside Tetrahymena pyriformis

L. pneumophila is able to live in a diverse range of environmental conditions, tolerating temperatures from 0°C-63 °C, a pH range of 5.0-8.5, and in dissolved oxygen concentrations of 0.2-15.0 mg/liter. However, it multiplies within a narrower temperature range of 25 °C to 42 °C.[16]

L. pneumophila is notably resistant to chlorine derivatives that are commonly used to control water borne pathogens. This resistance allows infiltration and persistence in water systems even when standard disinfectant processes are employed.[5] Water supply networks are the main source of L. pneumophila contamination, with the microbe commonly found in places such as cooling towers, water systems of hospitals, hotels, and cruise ships.[17] Of note, this bacterium can form and reside in biofilms within water system pipes, allowing it be aerosolized through fixtures such as faucets, showers, and sprinklers. Exposure to these aerosols can lead to infection in susceptible individuals.[18]

Biofilms

Biofilms are specialized, surface attachment communities that can consist of one or multiple microbes, ranging from bacteria, algae, and protozoa.[16] These protective matrixes enable the microbe to live for extended periods of time in low-nutrient environments and in the presence of biocides.[10] Multispecies biofilm on plumbing systems and in water distribution systems facilitate L. pneumophila growth due to the presence of freshwater protozoa.[5][16]

Environmental Protozoa

L. pneumophila is capable of infecting and multiplying within various species of free-living protists and amoebas. This bacterium can infect and survive within protozoa genera such as Acanthamoeba, Vermamoeba, and Naegleria which often feed on bacteria in biofilms.[12][5] It is through their growth in environmental protozoa and amoeba that L. pneumophila may persist in man-made water systems. Cyst-forming protozoans allow L. pneumophila to survive harsh environmental conditions such as chlorine, UV, ozonisation, and thermal treatments.[19]

Metabolism

L. pneumophila uses glycolysis, the Entner-Doudoroff (ED) pathway, the pentose phosphate pathway (PP), and the citric acid cycle (TCA). While its genome contains genes for all these pathways, it lacks the genes encoding for the key enzymes type I–III fructose 1,6-bisphosphatases in gluconeogenesis. L. pneumophila can still perform gluconeogenesis, but uses alternative enzymes such as fructose 6-phosphate aldolase. The ED and PP pathways are the main pathways for glucose metabolism in this organism.[20] Glucose is not the main source of energy, but does generate poly-3-hydroxybutyrate (PHB) through the ED pathway, which is a storage molecule converted to acetyl-CoA for use by the TCA cycle (Krebs cycle) when the microbe is nutrient deprived.[21] Along with these pathways, serine was found to be a major nutrient due to its ability to be turned into pyruvate, which is an important intermediate in metabolic pathways in L. pneumophila. Glycerol is also used as a substrate, as indicated by transcriptome analysis.[20]

While carbohydrates and complex polysaccharides are minimally metabolized, amino acids are the main carbon and energy source for L. pneumophila.[22] Imported amino acids are used by L. pneumophila to generate energy through the TCA cycle (Krebs cycle) and as sources of carbon and nitrogen.[21]

Nutrient acquisition

Legionella is auxotrophic for seven amino acids: cysteine, leucine, methionine, valine, threonine, isoleucine, and arginine. Inside the vacuole, nutrient availability is low; the high demand of amino acids is not covered by the transport of free amino acids found in the host cytoplasm. To improve the availability of amino acids, the parasite promotes the host mechanisms of proteasomal degradation. This generates an excess of free amino acids in the cytoplasm of L. pneumophila-infected cells that can be used for intravacuolar proliferation of the parasite. Amino acids are imported into the LCV through various amino acid transporters such as the neutral amino acid transporter B(0).[23] Even though L. pneumophila primarily uses amino acids as a carbon source, the bacteria does contain multiple amylases, such as LamB which hydrolyzes polysaccharides into glucose monomers for metabolism.[21]

Protein degradation to recycle amino acids and hydrolyzing polysaccharides are not the only methods by which L. pneumophila obtains carbon and energy sources from the host. Type II–secreted degradative enzymes may provide an additional strategy to generate carbon and energy sources. L. pneumophila is the only known intracellular pathogen to have a Type II Secretion System (secretome).[24][25]

Genomics

There are 14 known serogroups of L. pneumophila, but serogroup 1 is most commonly the causative agent of Legionnaires’ disease.[26] Three strains, L. pneumophila Philadelphia, L. pneumophila Paris, and L. pneumophila Lens, were isolated in 2004 which paved the way for understanding the molecular biology of the bacteria. Subspecies, which are commonly defined by geographical location, share about 80% of their genome with variation between strains that account for the difference in virulence between subspecies. The genome is relatively large of about 3.5 mega base pairs (mbp) which reflects a higher number of genes, corresponding with the ability of Legionella to adapt to different hosts and environments. There is a relatively high abundance genes encoding eukaryotic-like proteins (ELPs). ELPs are beneficial for mimicking the bacteria' eukaryotic hosts for pathogenicity. Other genes of L. pneumophila encode for Legionella-specific vacuoles, efflux transporters, ankyrin-repeat proteins, and many other virulence related characteristics.[27] The bffA gene is associated with biofilm formation, and it is seen that strains without this gene form biofilms both quicker and thicker which aids in resistance to environmental stressors.[28] In-depth comparative genome analysis using DNA arrays to study the gene content of 180 Legionella strains revealed high genomic plasticity and frequent horizontal gene transfer events.[27] Horizontal gene transfer allows L. pneumophila to evolve at a rapid pace and commonly is associated with drug resistance.[29]

Pathogenesis

The life cycle of L. pneumophila within a amoeba.
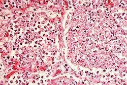
Image of alveoli filled with leukocytes and fibrin due to pneumonia caused by Legionella bacteria.[30]

L. pneumophila is able to invade and replicate within human alveolar macrophages. Internalization of the bacteria appears to occur through phagocytosis or coiling phagocytosis and is reliant on Dot/Icm type 4B secretion system (T4BSS). Once internalized, the Dot/Icm system begins secreting bacterial effector proteins that recruit host factors to the Legionella containing vacuole (LCV). This process prevents the LCV from fusing with the lysosomes that would otherwise degrade the bacteria. Vesicles of the host cell's rough endoplasmic reticulum are attracted to the LCV, and these vacuoles supply the LCV with necessary lipids and proteins.[13] LCV membrane integrity requires a steady supply of host lipids, such as cellular cholesterol and the cis-monounsaturated fatty acid, palmitoleic acid.[31][32] L. pneumophila replication occurs within the LCV. Once nutrients are depleted, the bacteria gain flagella and cytoxicity. To exit the host cell, L. pneumophila lyses the LCV and resides in the cytoplasm. In the cytoplasm, L. pneumophila inhibit organelle and plasma membrane function and structure which ultimately leads to osmotic lysis of the host cell.[33]

Virulence factors

L. pneumophila exhibits a unique lipopolysaccharide (LPS) structure that is highly hydrophobic due to its being densely packed with branched fatty acids, and elevated levels of O-acetyl and N-acetyl groups. This structure helps prevent interaction with a common LPS immune system co-receptor, CD14. There is also a correlation between an LPS with a high molecular-weight and the inhibition of phagosome-lysosome fusion.[34] L. pneumophila produces pili of varying lengths. The two pili proteins: PilE and Prepilin peptidase (PilD) are responsible for the production of type IV pili and subsequently, intracellular proliferation.[35] L. pneumophila possesses a singular, polar flagellum that is used for cell motility, adhesion, host invasion, and biofilm formation. The same regulators that control flagellation also control lysosome avoidance and cytotoxicity.[34] The macrophage infectivity potentiator is another key component of host cell invasion and intracellular replication. MIP displays peptidyl–prolyl cis/trans isomerase (PPIase) activity which is crucial for survival within the macrophage, along with transmigration across the lung epithelial barrier.[34][35]

Another key virulence factor of L. pneumophila is iron acquisition, the microbe utilizes two methods of iron uptake. Ferrous iron is collected through the use of a transport system involving an inner-membrane protein known as protein FeoB. Optimal intracellular infection is achieved in amoebae and macrophages via this transport system. The second form of uptake, involving ferric iron, is achieved through an iron chelator known as legiobactin. This is secreted by L. pneumophila when the microbes are being grown in a low iron chemically designed media.[36]

Legionella-containing vacuole

TEM image of L. pneumophila within a phagocytic cell

For Legionella to survive within macrophages and protozoa, it must create a specialized compartment known as the Legionella-containing vacuole (LCV).[37] Through the action of the Dot/Icm secretion system, the bacteria are able to prevent degradation by the normal endosomal trafficking pathway and instead replicate. Shortly after internalization, the bacteria specifically recruit endoplasmic reticulum-derived vesicles and mitochondria to the LCV while preventing the recruitment of endosomal markers such as Rab5a and Rab7a. Formation and maintenance of the vacuoles are crucial for pathogenesis; bacteria lacking the Dot/Icm secretion system are not pathogenic and cannot replicate within cells, while deletion of the Dot/Icm effector SdhA results in destabilization of the vacuolar membrane and no bacterial replication.[38][39]

Detection and treatment

Antisera have been used both for slide agglutination studies and for direct detection of bacteria in tissues using immunofluorescence via fluorescent-labelled antibodies. Specific antibodies in patients can be determined by the indirect fluorescent antibody test. ELISA and microagglutination tests have also been successfully applied.[8] A consistent method that has been used to detect the disease is the urine antigen test.[7]

Effective antibiotic treatment for Legionella pneumonia includes fluoroquinolones (levofloxacin or moxifloxacin) or, alternately, azithromycin. There has been no significant difference found between using a fluoroquinolone or azithromycin to treat Legionella pneumonia. Combination treatments with rifampicin are being tested as a response to antibiotic resistance during mono-treatments, though its effectiveness remains uncertain.[7]

These antibiotics work best because L. pneumophila is an intracellular pathogen.[40] Levofloxacin and azithromycin have great intracellular activity and are able to penetrate into Legionella-infected cells. The Infectious Diseases Society of America recommends 5–10 days of treatment with levofloxacin or 3–5 days of treatment with azithromycin; however, patients that are immunocompromised or have a severe disease may require an extended course of treatment.[40] Enzymes in the iron uptake pathway have been also suggested as important drug targets.[36]

Prevalence

L. pneumophila is the primary causative organism for Legionnaires disease, responsible for over 90% of cases within the United States.[41] Roughly 2 out of 100,000 people are infected each year in the European Union (EU), with an infection rate of approximately 5 per 100,000 in Italy.[42] The highest reported amount of cases in the US, EU, and Italy have been among men over the age of 50. [42][41] L. pneumophila often infects individuals through poor quality water sources. Approximately 20% of reported Legionnaires disease cases come from healthcare, senior living, or travel facilities that have been exposed to water contaminated with L. pneumophila. [41] There may also be an increased risk of contracting L. pneumophila from private wells, as they are often unregulated and not as rigorously disinfected as municipal water systems.[43] Several large outbreaks of Legionnaire's Disease have come from public hot tubs due to the temperature range of the water being ideal for the bacteria's growth.[44][45]

Legionnaires disease gained globally recognition after an outbreak in 1976 at a hotel in Philadelphia, Pennsylvania. The causative agent of the outbreak was L. pneumophila, which had contaminated the hotel's air conditioning water supply, allowing the microbe to be dispersed within the hotel's environment. A prominent mode of transmission for the disease is the inhalation of contaminated water aerosols.[41] The outbreak resulted in a total of 182 reported cases and 29 deaths.[42] This incident piloted research on the disease causing bacteria, as well as, preventative approaches to contamination.[41]

More recently, two outbreaks of Legionnaires disease among travelers on two cruise ships between November 2022 and June 2024 were reported by the United States Centers for Disease Control and Prevention (CDC). Hot tubs were identified as the likely source and the cruise lines modified their operation by increasing frequency of cleaning and hyperchlorination among other changes.[46]

References

  1. ^ Madigan M, Martinko J, eds. (2005). Brock Biology of Microorganisms (11th ed.). Prentice Hall. ISBN 0-13-144329-1.
  2. ^ Heuner K, Swanson M, eds. (2008). Legionella: Molecular Microbiology. Caister Academic Press. ISBN 978-1-904455-26-4.
  3. ^ Rowbotham TJ (December 1980). "Preliminary report on the pathogenicity of Legionella pneumophila for freshwater and soil amoebae". Journal of Clinical Pathology. 33 (12): 1179–1183. doi:10.1136/jcp.33.12.1179. PMC 1146371. PMID 7451664.
  4. ^ a b c Winn Jr WC (1996). "Legionella". In Baron S (ed.). Medical Microbiology (4th ed.). University of Texas: The University of Texas Medical Branch at Galveston. ISBN 0-9631172-1-1. PMID 21413250.
  5. ^ a b c d Abdel-Nour M, Duncan C, Low DE, Guyard C (October 2013). "Biofilms: the stronghold of Legionella pneumophila". International Journal of Molecular Sciences. 14 (11): 21660–21675. doi:10.3390/ijms141121660. PMC 3856027. PMID 24185913.
  6. ^ Djordjevic Z, Folic M, Petrovic I, Zornic S, Stojkovic A, Miljanovic A, et al. (May 2022). "An outbreak of Legionnaires' disease in newborns in Serbia". Paediatrics and International Child Health. 42 (2): 59–66. doi:10.1080/20469047.2022.2108672. PMID 35944175. S2CID 251468797.
  7. ^ a b c d Viasus D, Gaia V, Manzur-Barbur C, Carratalà J (June 2022). "Legionnaires' Disease: Update on Diagnosis and Treatment". Infectious Diseases and Therapy. 11 (3): 973–986. doi:10.1007/s40121-022-00635-7. PMC 9124264. PMID 35505000.
  8. ^ a b Conway de Macario E, Macario AJ, Wolin MJ (January 1982). "Specific antisera and immunological procedures for characterization of methanogenic bacteria". Journal of Bacteriology. 149 (1): 320–328. doi:10.1128/jb.149.1.320-328.1982. PMC 216625. PMID 6172417.
  9. ^ Gomez-Valero L, Rusniok C, Buchrieser C (September 2009). "Legionella pneumophila: population genetics, phylogeny and genomics". Infection, Genetics and Evolution. 9 (5): 727–739. Bibcode:2009InfGE...9..727G. doi:10.1016/j.meegid.2009.05.004. PMID 19450709.
  10. ^ a b c Iliadi V, Staykova J, Iliadis S, Konstantinidou I, Sivykh P, Romanidou G, et al. (October 2022). "Legionella pneumophila: The Journey from the Environment to the Blood". Journal of Clinical Medicine. 11 (20): 6126. doi:10.3390/jcm11206126. PMC 9605555. PMID 36294446.
  11. ^ a b Murdoch DR (January 2003). "Diagnosis of Legionella infection". Clinical Infectious Diseases. 36 (1): 64–69. doi:10.1086/345529. PMID 12491204.
  12. ^ a b Dey R, Mameri MR, Trajkovic-Bodennec S, Bodennec J, Pernin P (September 2020). "Impact of inter-amoebic phagocytosis on the L. pneumophila growth". FEMS Microbiology Letters. 367 (18). doi:10.1093/femsle/fnaa147. PMID 32860684.
  13. ^ a b Oliva G, Sahr T, Buchrieser C (2018-01-19). "The Life Cycle of L. pneumophila: Cellular Differentiation Is Linked to Virulence and Metabolism". Frontiers in Cellular and Infection Microbiology. 8: 3. doi:10.3389/fcimb.2018.00003. PMC 5780407. PMID 29404281.
  14. ^ a b Fonseca MV, Swanson MS (2014). "Nutrient salvaging and metabolism by the intracellular pathogen Legionella pneumophila". Frontiers in Cellular and Infection Microbiology. 4: 12. doi:10.3389/fcimb.2014.00012. PMC 3920079. PMID 24575391.
  15. ^ a b Petzold M, Thürmer A, Menzel S, Mouton JW, Heuner K, Lück C (September 2013). "A structural comparison of lipopolysaccharide biosynthesis loci of Legionella pneumophila serogroup 1 strains". BMC Microbiology. 13 (1) 198. doi:10.1186/1471-2180-13-198. PMC 3766260. PMID 24069939.
  16. ^ a b c Uzel A, Hames-Kocabas EE (2010). Legionella Pneumophila: From Environment to Disease. NOVA Science Publishers. pp. 5–8. hdl:11454/19520. ISBN 978-1-60876-947-6.
  17. ^ Yao XH, Shen F, Hao J, Huang L, Keng B (2024-07-26). "A review of Legionella transmission risk in built environments: sources, regulations, sampling, and detection". Frontiers in Public Health. 12. doi:10.3389/fpubh.2024.1415157. ISSN 2296-2565. PMC 11309999. PMID 39131570.
  18. ^ Hines SA, Chappie DJ, Lordo RA, Miller BD, Janke RJ, Lindquist HA, et al. (June 2014). "Assessment of relative potential for Legionella species or surrogates inhalation exposure from common water uses". Water Research. 56: 203–213. Bibcode:2014WatRe..56..203H. doi:10.1016/j.watres.2014.02.013. PMID 24681377.
  19. ^ Nisar MA, Ross KE, Brown MH, Bentham R, Whiley H (2020-04-15). "Legionella pneumophila and Protozoan Hosts: Implications for the Control of Hospital and Potable Water Systems". Pathogens. 9 (4): 286. doi:10.3390/pathogens9040286. ISSN 2076-0817. PMC 7238060. PMID 32326561.
  20. ^ a b Eisenreich W, Heuner K (November 2016). "The life stage-specific pathometabolism of Legionella pneumophila". FEBS Letters. 590 (21): 3868–3886. doi:10.1002/1873-3468.12326. PMID 27455397. S2CID 8187321.
  21. ^ a b c Best A, Price C, Ozanic M, Santic M, Jones S, Abu Kwaik Y (April 2018). "A Legionella pneumophila amylase is essential for intracellular replication in human macrophages and amoebae". Scientific Reports. 8 (1) 6340. Bibcode:2018NatSR...8.6340B. doi:10.1038/s41598-018-24724-1. PMC 5910436. PMID 29679057.
  22. ^ Manske C, Hilbi H (2014-09-09). "Metabolism of the vacuolar pathogen Legionella and implications for virulence". Frontiers in Cellular and Infection Microbiology. 4: 125. doi:10.3389/fcimb.2014.00125. ISSN 2235-2988. PMC 4158876. PMID 25250244.
  23. ^ Price CT, Richards AM, Abu Kwaik Y (2014-08-26). "Nutrient generation and retrieval from the host cell cytosol by intra-vacuolar Legionella pneumophila". Frontiers in Cellular and Infection Microbiology. 4: 111. doi:10.3389/fcimb.2014.00111. PMC 4143614. PMID 25207263.
  24. ^ Mintz CS (December 1999). "Gene transfer in Legionella pneumophila". Microbes and Infection. 1 (14): 1203–1209. doi:10.1016/s1286-4579(99)00241-5. PMID 10580276.
  25. ^ DebRoy S, Dao J, Söderberg M, Rossier O, Cianciotto NP (2006-12-12). "Legionella pneumophila type II secretome reveals unique exoproteins and a chitinase that promotes bacterial persistence in the lung". Proceedings of the National Academy of Sciences. 103 (50): 19146–19151. Bibcode:2006PNAS..10319146D. doi:10.1073/pnas.0608279103. ISSN 0027-8424. PMC 1748190. PMID 17148602.
  26. ^ Ditommaso S, Giacomuzzi M, Rivera SR, Raso R, Ferrero P, Zotti CM (September 2014). "Virulence of Legionella pneumophila strains isolated from hospital water system and healthcare-associated Legionnaires' disease in Northern Italy between 2004 and 2009". BMC Infectious Diseases. 14 (1) 483. doi:10.1186/1471-2334-14-483. PMC 4168204. PMID 25190206.
  27. ^ a b Steinert M, Heuner K, Buchrieser C, Albert-Weissenberger C, Glöckner G (November 2007). "Legionella pathogenicity: genome structure, regulatory networks and the host cell response". International Journal of Medical Microbiology. Special issue: Pathogenomics. 297 (7–8): 577–587. doi:10.1016/j.ijmm.2007.03.009. PMID 17467337.
  28. ^ Marin C, Kumova OK, Ninio S (2022-01-27). "Characterization of a Novel Regulator of Biofilm Formation in the Pathogen Legionella pneumophila". Biomolecules. 12 (2): 225. doi:10.3390/biom12020225. ISSN 2218-273X. PMC 8961574. PMID 35204726.
  29. ^ Burmeister AR (July 2015). "Horizontal Gene Transfer". Evolution, Medicine, and Public Health. 2015 (1): 193–194. doi:10.1093/emph/eov018. PMC 4536854. PMID 26224621.
  30. ^ "Legionella pneumonia". Dr Yale Rosen Atlas of Pulmonary Pathology. 2009-08-01. Retrieved 2024-10-19 – via www.flickr.com.
  31. ^ Ondari E, Wilkins A, Latimer B, Dragoi AM, Ivanov SS (January 2023). "Cellular cholesterol licenses Legionella pneumophila intracellular replication in macrophages". Microbial Cell. 10 (1): 1–17. doi:10.15698/mic2023.01.789. PMC 9806796. PMID 36636491.
  32. ^ Wilkins AA, Schwarz B, Torres-Escobar A, Castore R, Landry L, Latimer B, et al. (2024). "The intracellular growth of the vacuolar pathogen Legionella pneumophila is dependent on the acyl chain composition of host membranes". Frontiers in Bacteriology. 3. bioRxiv 10.1101/2023.11.19.567753. doi:10.3389/fbrio.2024.1322138.
  33. ^ Newton HJ, Ang DK, van Driel IR, Hartland EL (April 2010). "Molecular pathogenesis of infections caused by Legionella pneumophila". Clinical Microbiology Reviews. 23 (2): 274–298. doi:10.1128/CMR.00052-09. PMC 2863363. PMID 20375353.
  34. ^ a b c Shevchuk O, Jäger J, Steinert M (2011). "Virulence properties of the legionella pneumophila cell envelope". Frontiers in Microbiology. 2: 74. doi:10.3389/fmicb.2011.00074. PMC 3129009. PMID 21747794.
  35. ^ a b Talapko J, Frauenheim E, Juzbašić M, Tomas M, Matić S, Jukić M, et al. (January 2022). "Legionella pneumophila-Virulence Factors and the Possibility of Infection in Dental Practice". Microorganisms. 10 (2): 255. doi:10.3390/microorganisms10020255. PMC 8879694. PMID 35208710.
  36. ^ a b Cianciotto NP (May 2015). "An update on iron acquisition by Legionella pneumophila: new pathways for siderophore uptake and ferric iron reduction". Future Microbiology. 10 (5): 841–851. doi:10.2217/fmb.15.21. PMC 4461365. PMID 26000653.
  37. ^ Isberg RR, O'Connor TJ, Heidtman M (January 2009). "The Legionella pneumophila replication vacuole: making a cosy niche inside host cells". Nature Reviews. Microbiology. 7 (1): 13–24. doi:10.1038/nrmicro1967. PMC 2631402. PMID 19011659.
  38. ^ Harding CR, Stoneham CA, Schuelein R, Newton H, Oates CV, Hartland EL, et al. (July 2013). "The Dot/Icm effector SdhA is necessary for virulence of Legionella pneumophila in Galleria mellonella and A/J mice". Infection and Immunity. 81 (7): 2598–2605. doi:10.1128/IAI.00296-13. PMC 3697626. PMID 23649096.
  39. ^ Creasey EA, Isberg RR (February 2012). "The protein SdhA maintains the integrity of the Legionella-containing vacuole". Proceedings of the National Academy of Sciences of the United States of America. 109 (9): 3481–3486. doi:10.1073/pnas.1121286109. PMC 3295292. PMID 22308473.
  40. ^ a b Cunha BA, Burillo A, Bouza E (January 2016). "Legionnaires' disease". Lancet. 387 (10016): 376–385. doi:10.1016/s0140-6736(15)60078-2. PMID 26231463. S2CID 38821013.
  41. ^ a b c d e Donohue MJ, Pham M, Brown S, Easwaran KM, Vesper S, Mistry JH (June 2023). "Water quality influences Legionella pneumophila determination". Water Research. 238 119989. Bibcode:2023WatRe.23819989D. doi:10.1016/j.watres.2023.119989. PMC 10351031. PMID 37137207.
  42. ^ a b c Lupia T, Corcione S, Shbaklo N, Rizzello B, De Benedetto I, Concialdi E, et al. (February 2023). "Legionella pneumophila Infections during a 7-Year Retrospective Analysis (2016-2022): Epidemiological, Clinical Features and Outcomes in Patients with Legionnaires' Disease". Microorganisms. 11 (2): 498. doi:10.3390/microorganisms11020498. PMC 9965988. PMID 36838463.
  43. ^ Mapili K, Pieper KJ, Dai D, Pruden A, Edwards MA, Tang M, et al. (April 2020). "Legionella pneumophila occurrence in drinking water supplied by private wells". Letters in Applied Microbiology. 70 (4): 232–240. doi:10.1111/lam.13273. PMID 31904109. S2CID 209894300.
  44. ^ Kuroki T, Amemura-Maekawa J, Ohya H, Furukawa I, Suzuki M, Masaoka T, et al. (February 2017). "Outbreak of Legionnaire's Disease Caused by Legionella pneumophila Serogroups 1 and 13". Emerging Infectious Diseases. 23 (2): 349–351. doi:10.3201/eid2302.161012. PMC 5324795. PMID 28098535.
  45. ^ Donovan CV, MacFarquhar JK, Wilson E, Sredl M, Tanz LJ, Mullendore J, et al. (March 2023). "Legionnaires' Disease Outbreak Associated With a Hot Tub Display at the North Carolina Mountain State Fair, September 2019". Public Health Reports. 139 (1): 79–87. doi:10.1177/00333549231159159. PMC 10905752. PMID 36971250. S2CID 257765345.
  46. ^ Lee S (2024). "Two Outbreaks of Legionnaires Disease Associated with Outdoor Hot Tubs for Private Use — Two Cruise Ships, November 2022–July 2024". MMWR. Morbidity and Mortality Weekly Report. 73 (42): 950–954. doi:10.15585/mmwr.mm7342a3. ISSN 0149-2195. PMC 11500841. PMID 39446669.