Lung cancer screening

Lung cancer screening
A person lying down, about to go through a CT scanner.
Computed tomography (CT) scanner, a commonly recommended screening technique
Purposeidentify early lung cancers before they cause symptoms

Lung cancer screening refers to cancer screening strategies used to identify early lung cancers before they cause symptoms, at a point where they are more likely to be curable. Lung cancer screening is critically important because of the incidence and prevalence of lung cancer. More than 235,000 new cases of lung cancer are expected in the United States in 2021 with approximately 130,000 deaths expected in 2021.[1] In addition, at the time of diagnosis, 57% of lung cancers are discovered in advanced stages (III and IV), meaning they are more widespread or aggressive cancers.[2] Because there is a substantially higher probability of long-term survival following treatment of localized (60%) versus advanced stage (6%) lung cancer, lung cancer screening aims to diagnose the disease in the localized (stage I) stage.[3]

Results from large randomized studies have recently prompted a large number of professional organizations and governmental agencies in the U.S. to now recommend lung cancer screening in select populations. The 3 main types of lung cancer screening are low-dose, computerized tomographic (LDCT) screening, chest x-rays, and sputum cytology tests.[4] Currently multiple professional organizations, as well as the United States Preventive Services Task Force (USPSTF), the Centers for Medicare and Medicaid Services (CMS) and the European Commission's science advisors[5] concur and endorse low-dose, computerized tomographic screening for individuals at high-risk of lung cancer.

Guidelines

The definition of who is considered to be at sufficiently high risk to benefit from lung cancer screening varies according to different guidelines.

U.S. Preventive Services Task Force

The 2021 U.S. Preventive Services Task Force guidelines recommend annual screening for lung cancer with low-dose computed tomography in adults aged 50 to 80 years who have a 20 pack-year smoking history and currently smoke or have quit within the past 15 years.[6] Screening should be discontinued once a person has either not smoked for 15 years, or develops a health problem that substantially limits the person's life expectancy or the ability or willingness to have curative lung surgery.[6]

National Comprehensive Cancer Network (NCCN)

The National Comprehensive Cancer Network (NCCN) suggests screening for two high risk groups.[7] Group 1 guidelines include 55–77 years of age, 30 or more pack years of smoking and has quit within the past 14 years, and are a current smoker. Group 2 includes those 50 years of age or older, 20 or more pack years of smoking, and other risk factors excluding second-hand smoke.[7]

Other risk factors include:

European Commission

In 2022, the European Commission's Scientific Advice Mechanism concluded that "there is a strong scientific basis for introducing lung screening for current and ex-smokers using the latest technologies, such as low-dose CT scanning".[5]

Risks

Low-dose CT screening has been associated with falsely positive test results which may result in unneeded treatment.[8] In a series of studies assessing the frequence of false positive rates, results reported that rates ranged from 8-49%.[9] The false-positive rate declined when more screening rounds were performed.[9] Other concerns include radiation exposure, the cost of testing alone, and the cost of follow-up tests and imaging.[8] False reassurance from false negative findings, over-diagnosis, short term anxiety or distress, and increased rate of incidental findings are other risks.[10] The currently used low dose CT scan results in a radiation exposure of about 2 millisieverts (equal to roughly 20 two-view chest x-rays).[11] It has been estimated that radiation exposure from repeated screening studies could induce cancer formation in a small percentage of screened subjects, so this risk should be mitigated by a (relatively) high prevalence of lung cancer in the population being screened.[8]

Attendance

Poverty can reduce the numbers of people attending lung cancer screening. A UK study showed that making the screening easily accessible increased take-up. Providing mobile screening units parked in supermarket car parks, for example, in the poorer areas of Manchester was an acceptable way of offering lung checks to high-risk groups such as smokers. A simple test measured obstruction to the flow of air in and out of the lungs. A third of the tests showed airflow obstruction, a sign of chronic obstructive pulmonary disease which is a risk factor for lung cancer and other health conditions.[12][13]

History

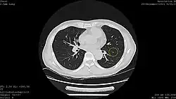
Calcified lung nodule seen on Low Dose Chest CT (circled)
Calcified lung nodule seen on Standard Dose Chest CT (circled)

Systematic examination of lung cancer screening began in the 1970s when the National Cancer Institute (NCI) sponsored clinical trials to examine chest x-rays and sputum cytology at Johns Hopkins, Memorial Sloan-Kettering Cancer Center, and Mayo Clinic.[14][15][16] In the Mayo Clinic study, termed "The Mayo Lung Project," researchers randomized over 9,000 male smokers age 45 and older to receive either chest x-ray and sputum screening three times a year, or annual chest x-ray screening. The results showed that more frequent screening resulted in higher resectability rate (more early-stage detection) but made no difference in mortality from lung cancer. Chest x-ray screenings were found to detect 6 times as many new cancers as sputum tests, proving the disutility of sputum tests in lung cancer screening.[17] However, the results from the Mayo Lung Project and the Hopkins and Memorial Sloan-Kettering studies were eventually discredited, due to failure to account for lead time and length time bias. Since none demonstrated reduced lung cancer incidence or mortality between randomized groups, chest x-ray was determined to be an ineffective screening tool.[18]

In the following years, the scientific community shifted its attention to computed tomography (CT). In 1996, results were published of a study of 1369 subjects screened in Japan that revealed that 73% of lung cancers that were missed by chest x-ray were detectable by CT scan.[19] Among the earliest United States-based clinical trials was the Early Lung Cancer Action Project (ELCAP), which published its results in 1999.[20] ELCAP screened 1000 volunteers with low-dose CT and chest x-ray. They were able to detect non-calcified nodules in 23% of patients by CT compared with 7% by chest x-ray. While this trial and a similar trial conducted by Mayo Clinic in 2005 demonstrated that CT was able to detect lung cancer at a higher rate than chest x-ray, both these trials used survival improvement, rather than mortality reduction, as an outcome, and thus were unable to prove that the use of CTs in lung cancer screening was actually impacting the number of people dying from lung cancer.[21][18]

In 2006, results of CT screening on over 31,000 high-risk patients – an expansion study of the Early Lung Cancer Action Project – was published in the New England Journal of Medicine.[22] In this study, 85% of the 484 detected lung cancers were stage I and thus highly treatable. Historically, such stage I patients would have an expected 10-year survival of 88%. Critics of the I-ELCAP study point out that there was no randomization of patients (all received CT scans and there was no comparison group receiving only chest x-rays) and the patients were not actually followed out to 10 years post-detection (the median followup was 40 months).

In contrast, a March 2007 study in the Journal of the American Medical Association (JAMA) found no mortality benefit from CT-based lung cancer screening.[23] 3,200 current or former smokers were screened for 4 years and offered 3 or 4 CT scans. Lung cancer diagnoses were 3 times as high, and surgeries were 10 times as high, as predicted by a model, but there were no significant differences between observed and expected numbers of advanced cancers or deaths.[24] Additional controversy arose after a 2008 New York Times reported that the 2006, pro-CT scan study in the New England Journal of Medicine had been funded indirectly by the parent company of the Liggett Group, a tobacco company.[25]

In 2011, the National Lung Screening Trial found that CT screening offers benefits over other screenings.[26] This study was recognized for providing supporting evidence for using CT to screen for lung cancer and for encouraging others to reflect on the merits and drawbacks of other types of screening.[27] This trial led to a recommendation in the United States that CT screening be used on people at high risk for developing lung cancer in an effort to detect the cancer earlier and reduce mortality.[27]

Development of guidelines

After the National Cancer Institute's National Lung Screening Trial publication in 2011, many national organizations revised their guidelines.

In December 2013, the U.S. Preventive Services Task Force (USPSTF) changed its long-standing recommendation that there is insufficient evidence to recommend for or against screening for lung cancer to the following: "The USPSTF recommends annual screening for lung cancer with low-dose computed tomography in adults ages 55 to 80 years who have a 30 pack-year smoking history and currently smoke or have quit within the past 15 years. Screening should be discontinued once a person has not smoked for 15 years or develops a health problem that substantially limits life expectancy or the ability or willingness to have curative lung surgery".[28]

Similarly, clinical practice guidelines previously issued by the American College of Chest Physicians (ACCP) in 2007 recommended against routine screening for lung cancer because of a lack of evidence that such screening was effective.[29] The 2013 ACCP guidelines take into account findings from the National Lung Screening Trial and state: "For smokers and former smokers who are age 55 to 74 and who have smoked for 30 pack-years or more and either continue to smoke or have quit within the past 15 years, we suggest that annual screening with low-dose CT (LDCT) should be offered over both annual screening with CXR or no screening, but only in settings that can deliver the comprehensive care provided to National Lung Screening Trial participants (Grade 2B)".[30] The most recent 2021 guidelines divide their seven recommendations into "strong" and "weak" and the evidence behind it as "moderate-quality" and "low-quality".[31] Their one strong recommendation with moderate-quality evidence is: "For asymptomatic individuals age 55 to 77 who have smoked 30 pack years or more and either continue to smoke or have quit within the past 15 years, we recommend that annual screening with low-dose CT should be offered."[31]

Guidelines were released initially in 2012 by the National Comprehensive Cancer Network, an alliance of now 31 cancer centers in the United States. Their consensus guidelines are updated annually. These guidelines support screening as a process, not a single test, and discuss risks and benefits of screening in high risk individuals within a comprehensive multidisciplinary program. Screening is only recommended for individuals defined as high risk meeting specific criteria. More details can be found in their patient guidelines.[32] While lung cancer screening programs have been supported by the NCCN,[33] International Association for the Study of Lung Cancer (IASLC),[34] American Cancer Society,[35] The American Society of Clinical Oncology (ASCO),[36] and other organizations, the costs of screening may not be covered by medical insurance policies, unless the eligibility criteria specified by the Centers for Medicare and Medicaid Services (CMS) are met.[36][37] As of 2017, usage of lung cancer screening in the U.S. after Medicare agreed to pay for screening and after guidelines were published was low, with the most uptake in the Midwest.[38] In 2017 a task force published a review of evidence and recommendations for advancing implementation.[38]

In 2014, the National Health Service (NHS) of England was re-examining the evidence for screening.[39] In 2019, the NHS implemented the Targeted Lung Health Checks program in order to target those most at risk of lung cancer.[40]

In 2022, the European Union proposed to update its guidelines on cancer screening to take into account new evidence that had emerged since 2016. A comprehensive evidence review by the European Commission's Scientific Advice Mechanism recommended lung cancer screening for current and former smokers, combined with smoking cessation programmes.[5]

Shared Decision-Making (SDM)

Shared decision-making involves the introduction of a third party into the patient/physician equation when dealing with decisions regarding lung cancer screening. A 2018 review article found that previous studies recorded less than half of patients being asked about their screening preferences. Lack of information about the benefits and downfalls of screening led to many patients feeling uninformed when making a decision on whether or not to get screened.[41] One of the methods ongoing the most testing is that of decision aids, exist to inform the patient on all of their options and to help them come to a consensus on what their stance might be. These aids range from online surveys to videos, some examples include "shouldiscreen.com" and the "Lung Cancer Screening Decision Aid" (LuCaS Da). The aids help people make informed decisions for their care that also take their personal values and beliefs into consideration. With shouldiscreen.com specifically, 97% of people who used the aid reported that it was helpful in deciding whether or not to get screened for lung cancer. The results also showed that patients had increased levels of knowledge about screening and less internal conflict after completing the aid.[41] These aids not only work to improve patients' understanding of the screening process, but also takes pressure off of the medical professionals as a third party source of knowledge. [42]

References

Public Domain This article incorporates public domain material from Agency for Healthcare Research and Quality, U.S. Preventive Services Task Force. United States Department of Health and Human Services. Retrieved 19 June 2017.

  1. ^ American Cancer Society. Cancer Prevention & Early Detection Facts & Figures 2019-2020. Atlanta: American Cancer Society; 2017.
  2. ^ Miller KD, Siegel RL, Lin CC, Mariotto AB, Kramer JL, Rowland JH, Stein KD, Alteri R, Jemal A (2016). "Cancer treatment and survivorship statistics, 2016". CA: A Cancer Journal for Clinicians. 66 (4): 271–289. doi:10.3322/caac.21349. PMID 27253694.
  3. ^ "Lung and Bronchus Cancer - Cancer Stat Facts".
  4. ^ "Lung Cancer Screening (PDQ®)–Patient Version - National Cancer Institute". www.cancer.gov. 30 July 2021. Retrieved 20 September 2021.
  5. ^ a b c "Improving cancer screening in the European Union". 2 March 2022. Retrieved 10 March 2022.
  6. ^ a b "Recommendation: Lung Cancer: Screening | United States Preventive Services Taskforce". www.uspreventiveservicestaskforce.org. Retrieved 10 September 2021.
  7. ^ a b c "Lung Cancer Screening" (PDF). 2020. Retrieved 10 September 2021.
  8. ^ a b c American College of Chest Physicians, American Thoracic Society (September 2013), "Five Things Physicians and Patients Should Question", Choosing Wisely, American College of Chest Physicians and American Thoracic Society, retrieved 6 January 2013
  9. ^ a b Jonas D (15 September 2021). "Screening for Lung Cancer With Low-Dose Computed Tomography Updated Evidence Report and Systematic Review for the US Preventive Services Task Force". JAMA Network. 325 (10): 971–987. doi:10.1001/jama.2021.0377. PMID 33687468. S2CID 232159404.
  10. ^ Humphrey LL, Deffebach M, Pappas M, Baumann C, Artis K, Mitchell JP, Zakher B, Fu R, Slatore CG (2013). "Screening for Lung Cancer With Low-Dose Computed Tomography: A Systematic Review to Update the U.S. Preventive Services Task Force Recommendation". Annals of Internal Medicine. 159 (6): 411–20. doi:10.7326/0003-4819-159-6-201309170-00690. PMID 23897166.
  11. ^ Mascalchi, Mario, and Lapo Sali. “Lung cancer screening with low dose CT and radiation harm-from prediction models to cancer incidence data.” Annals of translational medicine vol. 5,17 (2017): 360. doi:10.21037/atm.2017.06.41 [1]
  12. ^ "Lung health checks in supermarket car parks reach older smokers in deprived communities". NIHR Evidence (Plain English summary). 5 August 2020. doi:10.3310/alert_40661. S2CID 243394660.
  13. ^ Balata H, Harvey J, Barber PV, Colligan D, Duerden R, Elton P, Evison M, Greaves M, Howells J, Irion K, Karunaratne D (15 July 2020). "Spirometry performed as part of the Manchester community-based lung cancer screening programme detects a high prevalence of airflow obstruction in individuals without a prior diagnosis of COPD". Thorax. 75 (8): 655–660. doi:10.1136/thoraxjnl-2019-213584. ISSN 0040-6376. PMID 32444437. S2CID 218855570.
  14. ^ Stitik FP, Tockman MS (December 1978). "Radiographic screening in the early detection of lung cancer". Radiologic Clinics of North America. 16 (3): 347–366. ISSN 0033-8389. PMID 746141.
  15. ^ Melamed MR, Flehinger BJ, Zaman MB, Heelan RT, Perchick WA, Martini N (July 1984). "Screening for Early Lung Cancer". Chest. 86 (1): 44–53. doi:10.1378/chest.86.1.44. ISSN 0012-3692. PMID 6734291.
  16. ^ Muhm JR, Miller WE, Fontana RS, Sanderson DR, Uhlenhopp MA (1 September 1983). "Lung cancer detected during a screening program using four-month chest radiographs". Radiology. 148 (3): 609–615. doi:10.1148/radiology.148.3.6308709. ISSN 0033-8419. PMID 6308709.
  17. ^ Sanderson DR. "Lung Cancer Screening: The Mayo Study". Chest. 1986;89(4_Supplement)
  18. ^ a b Sharma D, Newman TG, Aronow WS (12 October 2015). "Lung cancer screening: history, current perspectives, and future directions". Archives of Medical Science. 11 (5): 1033–1043. doi:10.5114/aoms.2015.54859 (inactive 12 July 2025). ISSN 1734-1922. PMC 4624749. PMID 26528348.{{cite journal}}: CS1 maint: DOI inactive as of July 2025 (link)
  19. ^ Kaneko M, Eguchi K, Ohmatsu H, Kakinuma R, Naruke T, Suemasu K, Moriyama N (December 1996). "Peripheral lung cancer: screening and detection with low-dose spiral CT versus radiography". Radiology. 201 (3): 798–802. doi:10.1148/radiology.201.3.8939234. PMID 8939234.
  20. ^ Henschke CI, McCauley DI, Yankelevitz DF, Naidich DP, McGuinness G, Miettinen OS, Libby DM, Pasmantier MW, Koizumi J, Altorki NK, Smith JP (July 1999). "Early Lung Cancer Action Project: overall design and findings from baseline screening". The Lancet. 354 (9173): 99–105. doi:10.1016/s0140-6736(99)06093-6. ISSN 0140-6736. PMID 10408484. S2CID 32737974.
  21. ^ Swensen SJ, Jett JR, Hartman TE, Midthun DE, Mandrekar SJ, Hillman SL, Sykes AM, Aughenbaugh GL, Bungum AO, Allen KL (April 2005). "CT Screening for Lung Cancer: Five-year Prospective Experience". Radiology. 235 (1): 259–265. doi:10.1148/radiol.2351041662. ISSN 0033-8419. PMID 15695622.
  22. ^ Henschke CI, Yankelevitz DF, Libby DM, Pasmantier MW, Smith JP, Miettinen OS (2006). "Survival of patients with stage I lung cancer detected on CT screening". N. Engl. J. Med. 355 (17): 1763–71. doi:10.1056/NEJMoa060476. PMID 17065637.
  23. ^ Bach PB, Jett JR, Pastorino U, Tockman MS, Swensen SJ, Begg CB (2007). "Computed tomography screening and lung cancer outcomes". JAMA. 297 (9): 953–61. doi:10.1001/jama.297.9.953. PMID 17341709.
  24. ^ Crestanello JA, Allen MS, Jett J, Cassivi SD, Nichols Iii FC, Swensen SJ, Deschamps C, Pairolero PC (2004). "Thoracic surgical operations in patients enrolled in a computed tomographic screening trial". Journal of Thoracic and Cardiovascular Surgery. 128 (2): 254–259. doi:10.1016/j.jtcvs.2004.02.017. PMID 15282462.
  25. ^ Cigarette Company Paid for Lung Cancer Study, by Gardiner Harris. Published in the New York Times on March 26, 2008.
  26. ^ Aberle DR, Adams AM, Berg CD, Black WC, Clapp JD, Fagerstrom RM, Gareen IF, Gatsonis C, Marcus PM, Sicks JD (2011). "Reduced Lung-Cancer Mortality with Low-Dose Computed Tomographic Screening". New England Journal of Medicine. 365 (5): 395–409. doi:10.1056/NEJMoa1102873. ISSN 0028-4793. PMC 4356534. PMID 21714641.
  27. ^ a b Aberle DR, Abtin F, Brown K (2013). "Computed Tomography Screening for Lung Cancer: Has It Finally Arrived? Implications of the National Lung Screening Trial". Journal of Clinical Oncology. 31 (8): 1002–1008. doi:10.1200/JCO.2012.43.3110. ISSN 0732-183X. PMC 3589698. PMID 23401434.
  28. ^ "Lung Cancer Screening". U.S. Preventative Services Task Force. 2013. Archived from the original on 4 November 2010. Retrieved 21 July 2014.
  29. ^ Alberts WM, American College of Chest Physicians (2007). "Diagnosis and Management of Lung Cancer Executive Summary: ACCP Evidence-Based Clinical Practice Guidelines (2nd Edition)". Chest. 132 (3_suppl): 1S – 19S. doi:10.1378/chest.07-1860. PMID 17873156.
  30. ^ Detterbeck FC, Lewis SZ, Diekemper R (1 May 2013). "Executive summary: Diagnosis and management of lung cancer, 3rd ed: American college of chest physicians evidence-based clinical practice guidelines". Chest. 143 (5S): 7S – 37S. doi:10.1378/chest.12-2377. PMID 23649434.
  31. ^ a b Mazzone PJ, Silvestri GA, Souter LH, Caverly TJ, Kanne JP, Katki HA, Wiener RS, Detterbeck FC (13 July 2021). "Screening for Lung Cancer". Chest. 160 (5): e427 – e494. doi:10.1016/j.chest.2021.06.063. ISSN 0012-3692. PMC 8727886. PMID 34270968. S2CID 236000983.
  32. ^ "NCCN Guidelines for Patients™ | Lung Cancer Screening". Archived from the original on 14 August 2012. Retrieved 2013-04-09.
  33. ^ "NCCN Guidelines". National Comprehensive Cancer Network. Retrieved 7 September 2016.
  34. ^ "Lung Cancer Association | Research | IASLC". Archived from the original on 4 July 2011. Retrieved 2011-06-24.
  35. ^ Simon S (11 January 2013). "New Lung Cancer Screening Guidelines for Heavy Smokers". American Cancer Society. American Cancer Society, Inc. Retrieved 7 September 2016.
  36. ^ a b Wood DE, Kazerooni EA, Baum SL, Eapen GA, Ettinger DS, Hou L, Jackman DM, Klippenstein D, Kumar R, Lackner RP, Leard LE (1 April 2018). "Lung Cancer Screening, Version 3.2018, NCCN Clinical Practice Guidelines in Oncology". Journal of the National Comprehensive Cancer Network. 16 (4): 412–441. doi:10.6004/jnccn.2018.0020. ISSN 1540-1405. PMC 6476336. PMID 29632061.
  37. ^ "Lung Cancer Screening Coverage".
  38. ^ a b National Academies of Sciences, Engineering, and Medicine (2016). Implementation of Lung Cancer Screening: Proceedings of a Workshop. The National Academies Press. ISBN 9780309451321.{{cite book}}: CS1 maint: multiple names: authors list (link)
  39. ^ Baldwin DR, Hansell DM, Duffy SW, Field JK (7 March 2014). "Lung cancer screening with low dose computed tomography". BMJ (Clinical Research Ed.). 348: g1970. doi:10.1136/bmj.g1970. PMID 24609921. S2CID 39926785.
  40. ^ "Targeted Screening for Lung Cancer with Low Radiation Dose Computed Tomography" (PDF). NHS. Archived from the original (PDF) on 11 May 2021. Retrieved 13 September 2021.
  41. ^ a b Lowenstein LM, Deyter GM, Nishi S, Wang T, Volk RJ (June 2018). "Shared decision-making conversations and smoking cessation interventions: critical components of low-dose CT lung cancer screening programs". Translational Lung Cancer Research. 7 (3): 254–271. doi:10.21037/tlcr.2018.05.10. ISSN 2226-4477. PMC 6037966. PMID 30050764.
  42. ^ Prazeres F, Martins E (September 2019). "Shared decision making and cancer screening". Indian Journal of Cancer. 56 (3): 195. doi:10.4103/ijc.IJC_574_18. ISSN 0019-509X.