Papillary fibroelastoma
| Papillary fibroelastoma | |
|---|---|
![]() | |
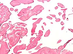
| Low magnification micrograph of an excised aortic valve papillary fibroelastoma showing the characteristic avascular branching papillae, H&E stain | |
| Specialty | Oncology, cardiology |
A papillary fibroelastoma is a primary tumor of the heart that typically involves one of the heart valves.[1] Papillary fibroelastomas, while considered uncommon, make up about 10 percent of all primary tumors of the heart.[2] They are the third most common type of primary tumor of the heart,[3] behind cardiac myxomas and cardiac lipomas.
Signs and symptoms
A papillary fibroelastoma is generally considered pathologically benign,[4] however outflow obstruction or embolism can be associated with syncope,[5] chest pain, heart attack, stroke[6][7] and sudden cardiac death.
Symptoms due to papillary fibroelastomas are generally due to either mechanical effects of the tumor or due to embolization of a portion of the tumor to a distal organ. In particular, chest pain or syncope may be due to transient occlusion of the left main coronary artery by the tumor,[8] while a heart attack or sudden cardiac death may be due to embolization of a portion of the tumor into a coronary artery.[9]
Diagnosis

Papillary fibroelastoma are typically found and accurately diagnosed by imaging. The diagnosis is confirmed by pathology. Histologically, papillary fibroelastomas have branching avascular papillae, composed of collagen, that are covered by endothelium.
Treatment
If the tumor is found incidentally in an asymptomatic person, the treatment approach is controversial. Certainly a conservative approach is warranted in certain individuals.[10] If the tumor is large, greater than 1 cm in asymptomatic patients,[11] and pedunculated, a case may be made for surgical excision prior to symptoms developing due to the higher risk of embolism. However, this is still considered controversial.[12]
If the papillary fibroelastoma is associated with symptoms, surgical excision is generally recommended for relief of symptoms.[10] A minimally invasive approach may be possible if the tumor involves the aortic valve[13] or right atrium.[14] In the case of aortic valve involvement, excision of the tumor is often valve-sparing, meaning that replacement of the valve with a prosthetic valve is not necessary. Repair of the native valve with a pericardial patch has been described.[15]
See also
References
- ^ WHO Classification of Tumours Editorial Board (2021). "3. Tumours of the heart: papillary fibroelastoma". Thoracic Tumours. Vol. 5 (5th ed.). Lyon (France): World Health Organization. pp. 230–232. ISBN 978-92-832-4506-3.
- ^ Palecek T, Lindner J, Vitkova I, Linhart A (2008). "Papillary Fibroelastoma Arising from the Left Ventricular Apex Associated with Nonspecific Systemic Symptoms". Echocardiography. 25 (5): 526–8. doi:10.1111/j.1540-8175.2007.00617.x. PMID 18177380. S2CID 39607363.
- ^ Matsumoto N, Sato Y, Kusama J, Matsuo S, Kinukawa N, Kunimasa T, Ichiyama I, Takahashi H, Kimura S, Orime Y, Saito S (2007). "Multiple papillary fibroelastomas of the aortic valve: case report". Int J Cardiol. 122 (1): e1–3. doi:10.1016/j.ijcard.2006.11.026. PMID 17196273.
- ^ Kumbala D, Sharp T, Kamalesh M (2008). ""Perilous pearl"--papillary fibroelastoma of aortic valve: a case report and literature review". Angiology. 59 (5): 625–8. doi:10.1177/0003319707305986. PMID 18388078. S2CID 22877350.
- ^ Maestroni A, Zecca B, Triggiani M (2006). "Cardiac papillary fibroelastoma presenting with acute coronary syndrome and syncope". Acta Cardiol. 61 (3): 363–5. doi:10.2143/AC.61.3.2014843. PMID 16869462. S2CID 25041146.
- ^ Liebeskind DS, Buljubasic N, Saver JL (2001). "Cardioembolic stroke due to papillary fibroelastoma". J Stroke Cerebrovasc Dis. 10 (2): 94–5. doi:10.1053/jscd.2001.24654. PMID 17903807.
- ^ Kalavakunta, Jagadeesh K.; Peddi, Prashanth; Bantu, Viswaroop; Tokala, Hemasri; Kodenchery, Mihas (2010-09-01). "Lambl's excrescences: a rare cause of stroke". The Journal of Heart Valve Disease. 19 (5): 669–670. ISSN 0966-8519. PMID 21053748.
- ^ Kalavakunta, Jagadeesh K.; Martin, David; Gupta, Vishal (2011-01-01). "A rare location and presentation of papillary fibroelastoma". The American Heart Hospital Journal. 9 (2): 114–115. doi:10.15420/ahhj.2011.9.2.114. ISSN 1541-9215. PMID 24839649.
- ^ Takada A, Saito K, Ro A, Tokudome S, Murai T (2000). "Papillary fibroelastoma of the aortic valve: a sudden death case of coronary embolism with myocardial infarction". Forensic Sci Int. 113 (1–3): 209–14. doi:10.1016/S0379-0738(00)00207-3. PMID 10978627.
- ^ a b Mutlu H, Demir IE, Leppo J, Levy WK (2008). "Nonsurgical Management of a Left Ventricular Pedunculated Papillary Fibroelastoma: A Case Report". J Am Soc Echocardiogr. 21 (7): 877.e4–7. doi:10.1016/j.echo.2007.10.001. PMID 18191538.
- ^ Gopaldas, R. R.; Atluri, P. V.; Blaustein, A. S.; Bakaeen, F. G.; Huh, J.; Chu, D. (2009). "Papillary Fibroelastoma of the Aortic Valve: Operative Approaches upon Incidental Discovery". Texas Heart Institute Journal. 36 (2): 160–163. PMC 2676606. PMID 19436815.
- ^ Boodhwani M, Veinot JP, Hendry PJ (2007). "Surgical approach to cardiac papillary fibroelastomas". Can J Cardiol. 23 (4): 301–2. doi:10.1016/S0828-282X(07)70759-6. PMC 2647888. PMID 17380224.
- ^ Hsu VM, Atluri P, Keane MG, Woo YJ (2006). "Minimally invasive aortic valve papillary fibroelastoma resection". Interact Cardiovasc Thorac Surg. 5 (6): 779–81. doi:10.1510/icvts.2006.133702. PMID 17670711.
- ^ Kim RW, Jeffery ME, Smith MJ, Wilensky RL, Woo EY, Woo YJ (2007). "Minimally invasive resection of papillary fibroelastoma in a high-risk patient". J Cardiovasc Med. 8 (8): 639–41. doi:10.2459/01.JCM.0000281694.01986.ab. PMID 17667039.
- ^ Westhof FB, Chryssagis K, Liangos A, Batz G, Diegeler A (2007). "Aortic valve leaflet reconstruction after excision of a papillary fibroelastoma using autologous pericardium". Thorac Cardiovasc Surg. 55 (3): 204–7. doi:10.1055/s-2006-924439. PMID 17410513.
