Pneumatocele

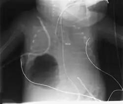
Large, right lower lobe pneumatocele is shown, compromising ventilation in a premature infant with RDS and superimposed RSV pneumonitis.

A pneumatocele is a cavity in the lung parenchyma filled with air that may result from pulmonary trauma during mechanical ventilation.[1]

Gas-filled, or air-filled lesions in bone are known as pneumocysts.[2] When a pneumocyst is found in a bone it is called an intraosseous pneumocyst, or a vertebral pneumocyst when found in a vertebra.[3]

Cause

A pneumatocele results when a lung laceration, a cut or tear in the lung tissue, fills with air.[4] A rupture of a small airway creates the air-filled cavity.[1] Pulmonary lacerations that fill with blood are called pulmonary hematomas.[4] In some cases, both pneumatoceles and hematomas exist in the same injured lung.[5] A pneumatocele can become enlarged, for example when the patient is mechanically ventilated or has acute respiratory distress syndrome, in which case it may not go away for months.[5]

Intraosseous pneumatocysts in the bone are rare and of unclear origin. They are benign and usually without symptoms.[3] They are also found around a sacroiliac joint, and there has been one reported case of an acetabular pneumocyst.[6]

Diagnosis

Diagnosis can be made using chest X-ray; the lesion shows up as a small, round area filled with air.[1] Computed tomography can give a more detailed understanding of the lesion.[1] Differential diagnoses – other conditions that could cause similar symptoms as pneumatocele include lung cancer, tuberculosis,[7] and a lung abscess[1] in the setting of hyper IgE syndrome (aka Job's syndrome), as a complication of COVID-19 pneumonitis,[8] or on its own, often caused by Staphylococcus aureus infection during cystic fibrosis.

Management and treatment

Treatment typically is supportive and includes monitoring and observation.[1]

References

  1. ^ a b c d e f Atluri P, Karakousis GC, Porrett PM, Kaiser LR (2005). The Surgical Review: An Integrated Basic and Clinical Science Study Guide (Recall Series). Hagerstown, MD: Lippincott Williams & Wilkins. p. 376. ISBN 0-7817-5641-3.
  2. ^ "pneumatocyst | Definition of pneumatocyst in English by Oxford Dictionaries". Oxford Dictionaries | English. Archived from the original on June 4, 2019. Retrieved 4 June 2019.
  3. ^ a b Al-Tarawneh, E; Al-Qudah, M; Hadidi, F; Jubouri, S; Hadidy, A (March 2014). "Incidental intraosseous pneumatocyst with gas-density-fluid level in an adolescent: a case report and review of the literature". Journal of Radiology Case Reports. 8 (3): 16–22. doi:10.3941/jrcr.v8i3.1540. PMC 4035364. PMID 24967024.
  4. ^ a b White C, Stern EJ (1999). Chest Radiology Companion. Hagerstown, MD: Lippincott Williams & Wilkins. pp. 80, 176. ISBN 0-397-51732-7. Retrieved 2008-04-30.
  5. ^ a b Gavelli G, Canini R, Bertaccini P, Battista G, Bnà C, Fattori R (June 2002). "Traumatic injuries: imaging of thoracic injuries". European Radiology. 12 (6): 1273–1294. doi:10.1007/s00330-002-1439-6. PMID 12042932. S2CID 1919039.
  6. ^ Narváez, JA; Narváez, J; Rodríguez-Mijarro, M; Quintero, JC (1999). "Acetabular pneumatocyst containing air-fluid level". European Radiology. 9 (8): 1647–9. doi:10.1007/s003300050902. PMID 10525883. S2CID 19285989.
  7. ^ Puri, M. M.; Jain, A. K.; Kumar, Lokender; Sarin, R. (April 2014). "Total replacement of a lung by tuberculosis pneumatocele--an unusual post-tuberculosis sequel". The Indian Journal of Tuberculosis. 61 (2): 162–165. ISSN 0019-5707. PMID 25509941.
  8. ^ Wortman II, Kevin O.; Wortman, Kevin O. (2021-08-24). "Pneumatocele Induced Pneumothorax in a patient with Post-COVID-19 Pneumonitis. A Case Report". International Journal of Medical Students. 9 (3): 223–226. doi:10.5195/ijms.2021.1012. ISSN 2076-6327.

Further reading

Al-Tarawneh, Emad; AL-Qudah, Mohammad; Hadidi, Fadi (March 2014). "Incidental Intraosseous Pneumatocyst with gas-density-fluid level in an adolescent: a case report and review of the literature". Journal of Radiology Case Reports. 8 (3): 16–22. doi:10.3941/jrcr.v8i3.1540. PMC 4035364. PMID 24967024.