Solute carrier family 45 member 3 (SLC45A3), also known as prostate cancer-associated protein 6 or prostein, is a protein that in humans is encoded by the SLC45A3gene.[5][6][7]
SLC45A3 is expressed in a prostate-specific manner by normal tissues and at a significantly lower level in prostate tumor cell lines. Treatment of prostate cancer cell lines with androgens upregulates the expression of SLC45A3.[7]
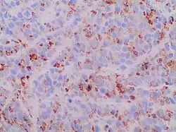
Immunohistochemistry of prostein in metastatic prostate adenocarcinoma to a lymph node, showing cytoplasmic staining.
Regulation
There is evidence that the expression of SLC45A3 is regulated by the microRNA mir-126*.[8]
Satake W, Nakabayashi Y, Mizuta I, Hirota Y, Ito C, Kubo M, et al. (December 2009). "Genome-wide association study identifies common variants at four loci as genetic risk factors for Parkinson's disease". Nature Genetics. 41 (12): 1303–7. doi:10.1038/ng.485. PMID19915576. S2CID205356259.
Kalos M, Askaa J, Hylander BL, Repasky EA, Cai F, Vedvick T, et al. (August 2004). "Prostein expression is highly restricted to normal and malignant prostate tissues". The Prostate. 60 (3): 246–56. doi:10.1002/pros.20043. PMID15176054. S2CID24772512.
Sheridan T, Herawi M, Epstein JI, Illei PB (September 2007). "The role of P501S and PSA in the diagnosis of metastatic adenocarcinoma of the prostate". The American Journal of Surgical Pathology. 31 (9): 1351–5. doi:10.1097/PAS.0b013e3180536678. PMID17721190. S2CID10247840.